Cand este necesara aditia de os in parodontoza?
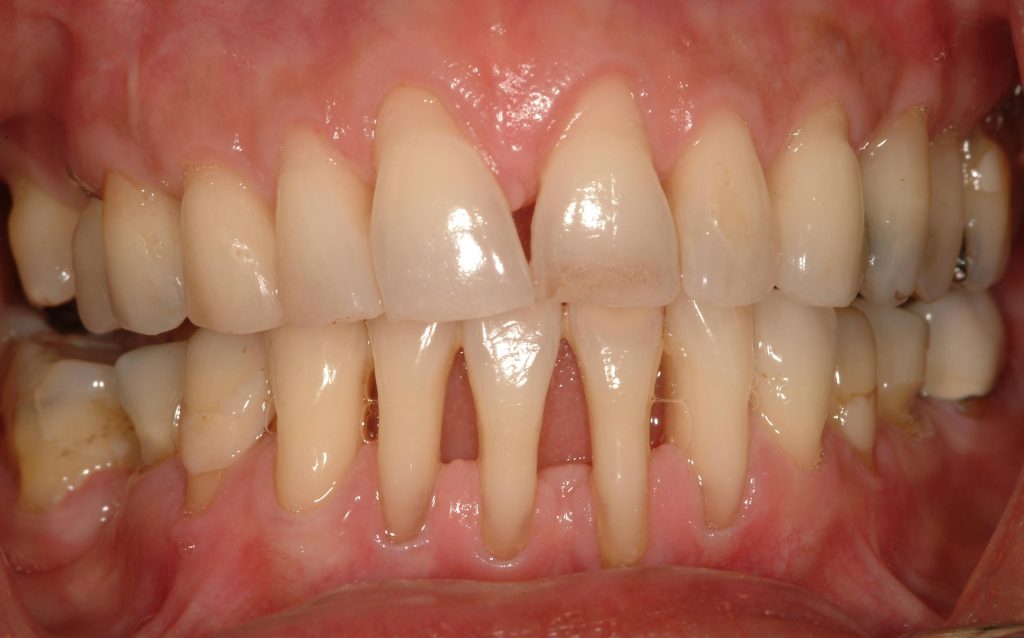
Parodontoza (boala parodontala) distruge treptat ligamentul parodontal si osul care sustine dintii. In formele moderate si avansate sau severe apar pungi parodontale, mobilitate dentara si retrageri gingivale. In aceste situatii, planul terapeutic poate include proceduri regenerative, iar aditia de os este una dintre cele mai frecvente.
Ce este parodontoza si de ce se pierde osul
Placa bacteriana si tartrul declanseaza inflamatie cronica la nivelul gingiei. Netratata, aceasta inflamatie afecteaza ligamentul si osul alveolar. Pe masura ce osul se resoarbe, se formeaza pungi parodontale adanci si dintii isi pierd stabilitatea.

Cand este necesara aditia de os
Aditia de os (regenerare osoasa ghidata) este recomandata in special atunci cand:
- Exista defecte osoase verticale (pereti ososi ramasi in jurul radacinii) care se pot regenera previzibil.
- Pungile parodontale sunt ≥5–6 mm dupa terapia initiala (detartraj subgingival si decontaminare) si persista sangerarea la sondaj.
- Tratamentul pentru parodontoza avansata urmareste salvarea dintilor cu mobilitate usoara–moderata, iar anatomia defectului permite stabilizarea grefei.
- Exista retrageri gingivale asociate cu pierdere osoasa localizata, cand chirurgia mucogingivala combinata cu biomaterial poate imbunatati suportul.
Nu se indica aditie osoasa atunci cand dintii au mobilitate severa (prognostic infaust), cand defectele sunt orizontale extinse, controlul placii este slab sau fumatul este intens si neasumat.
Tipuri de materiale pentru aditie de os
- Autogrefa (os propriu) – potential biologic ridicat.
- Alogrefa (os uman procesat) – profil regenerativ bun, disponibilitate predictibila.
- Xenogrefa (de origine bovina/porcina) – mentine volum, resorbtie lenta.
- Materiale sintetice (beta-TCP, hidroxiapatita) – optiuni biocompatibile.
Adesea se foloseste o membrana de colagen pentru a ghida vindecarea si, uneori, concentrat trombocitar (PRGF) pentru a sustine regenerarea rapida.

Cum decurge tratamentul
- Diagnostic si planificare: consult parodontal, masuratori la sondaj, radiografii periapicale/CBCT.
- Terapie initiala: detartraj subgingival, planare radiculara, igienizare riguroasa la domiciliu; reevaluare la 4–6 saptamani.
- Chirurgie regenerativa: decolarea lamboului, curatarea defectului, aditie de os, membrana, suturi.
- Control si vindecare: firele se indeparteaza la 7–14 zile; remodelarea osoasa continua cateva luni.
- Mentenanta parodontala: control si igienizare profesionala la 3–4 luni pentru a preveni recidiva.
Rezultate si recuperare
Scopul este cresterea nivelului osos in defectele potrivite, micsorarea adancimii pungilor si stabilizarea dintilor. Disconfortul postoperator este de obicei moderat si gestionabil cu antiinflamatoare, gheata locala si igiena controlata. Fumatul si igiena deficitara scad semnificativ sansele de succes.
Ce influenteaza pretul aditiei de os in tratamentul parodontozei
Pretul aditiei osoase nu este identic pentru toti pacientii deoarece depinde de:
- Numarul si tipul defectelor (un singur dinte vs mai multe zone).
- Biomaterialul ales si membranele utilizate.
- Necesitatea de PRGF, microscop, sedare sau tratamente adiacente (chirurgie mucogingivala).
- Complexitatea cazului (parodontoza generalizata vs localizata).
- Planul de mentenanta pe termen lung (controale periodice, consumabile).
Este aditia de os mereu necesara?
Nu. In multe cazuri, dupa terapia nechirurgicala corecta si igiena excelenta, inflamatia scade, iar punga se poate reduce fara chirurgie. Aditia de os se indica atunci cand exista defecte anatomice potrivite si obiectivul realist este salvarea dintilor cu prognostic favorabil.
FAQ
1. Cat dureaza vindecarea?
Tesuturile moi: 2–3 saptamani; remodelarea osoasa: 4–6 luni.
2. Se poate face la fumatori?
Da, dar succesul scade; se recomanda reducerea/renuntarea.
3. Este dureros?
Interventia se face cu anestezie locala; postoperator disconfortul este controlabil.
Concluzie:
In tratament pentru parodontoza avansata, aditia de os este indicata selectiv, acolo unde defectele verticale permit regenerare. O evaluare personalizata stabileste prognosticul fiecarui dinte si clarifica realist pretul tratamentelor si a aditiei de os.
Programeaza o consultatie parodontala completa si urmeaza riguros mentenanta la 3–4 luni pentru rezultate stabile pe termen lung.






