
Fatetele dentare reprezinta solutia cea mai rapida de a obtine si pastra pe termen lung un zambet cat mai estetic si alb.
Gama deosebit de larga de fatete dentare disponibila in prezent asigura o metoda moderna eficienta si minim-invaziva de corectare a aspectului dintilor, cu rezultate imediate. Datorita progresului tehnologic din ultimii ani, tehnicile si materialele folosite in procesul de fatetare a dintilor au fost imbunatatite considerabil.
Practic, o fateta dentara este un invelis ceramic subtire, rezistent si durabil, care se aplica prin cimentare peste suprafata vizibila a dintelui. Fatelele sunt utilizate pentru a corecta sau imbunatati aspectul zambetului. In acest fel, defectele dintilor din zona frontala sunt perfect mascate, iar tu te vei putea bucura de zambetul mult dorit.
Procesul de fatetare a dintilor este o varianta mai rapida si mai putin invaziva la protezarea prin coroane dentare, unde pierderea de tesut dentar este mai mare. Durata de viata a unor fatete dentare ceramice este intre 5 si 10 ani.

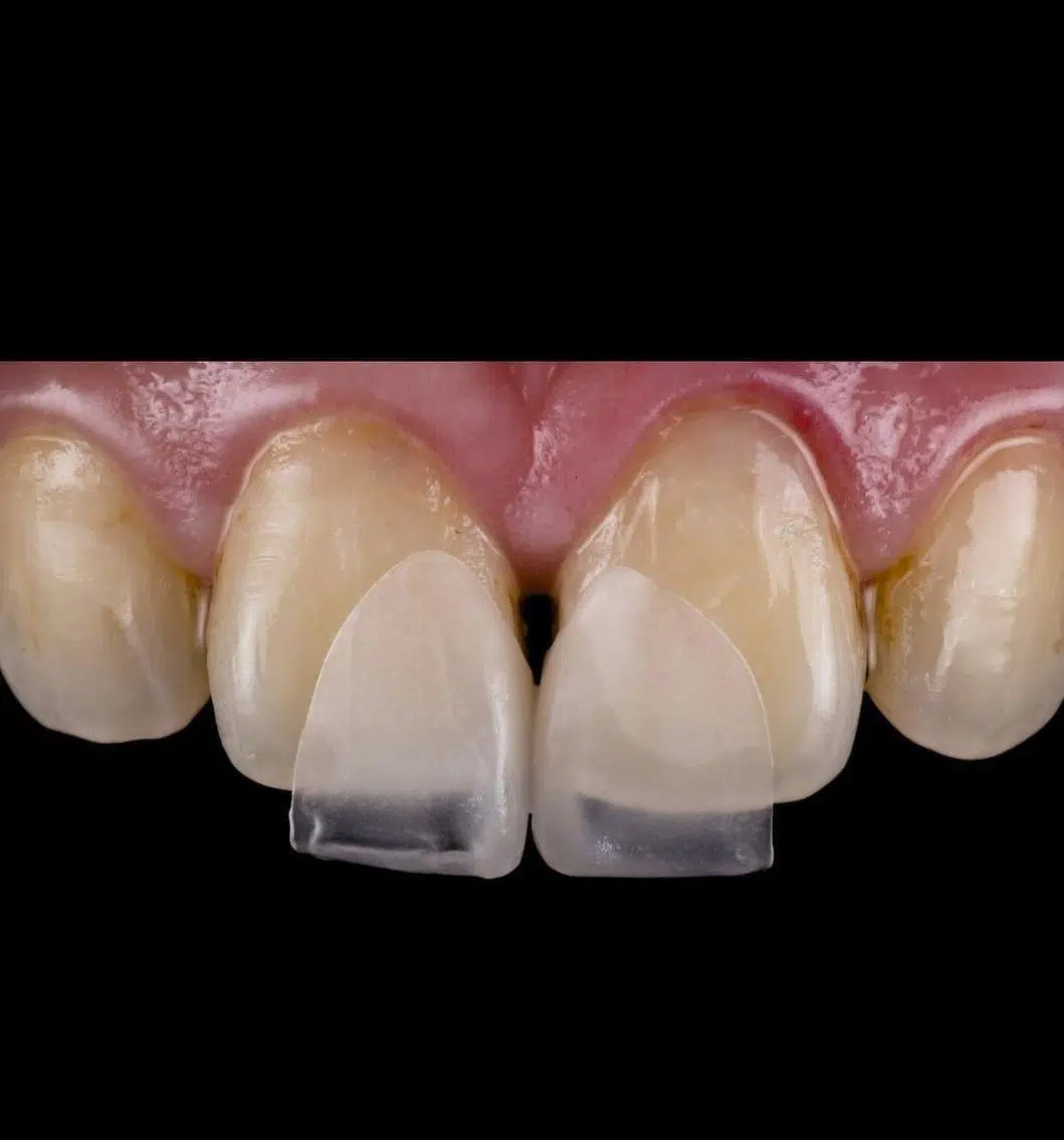
Cazuri before and after – Zambete inainte si dupa aplicarea fatetelor dentare
Mai jos va prezentam doar cateva dintre miile de zambete redate cu succes pacientilor nostri de catre specialistii Dental Premier din Bucuresti, cu ajutorul fatetelor dentare ceramice Emax de calitate superioara. Vezi poze cu fatete dentare before and after si dinti piliti inainte de fatete.
Indicatii: cand se recomanda fatetele dentare si ce avantaje si dezavantaje au?
Fatetele dentare sunt recomandate in urmatoarele situatii:
- Cand dintii sunt fisurati, sparti, crapati sau ciobiti
- Cand exista strungareata (spatieri intre dinti)
- Cand dintii au mici imprefectiuni sau pete de culoare

Avantajele fatetelor dentare
- Pacientul obtine intr-un timp foarte scurt un zambet natural
- Fatetele sunt extrem de rezistente, reprezentand astfel o solutie pe termen lung
- Aplicarea fatetelor prin cimentare este rapida si lipsita de durere
- Fatetele nu se pateaza de la cafea si/sau tigari
- Materialele utilizate pentru realizarea tratamentului sunt 100% biocompatibile

Dezavantajele fatetelor dentare
- Procesul de fatetare dinti nu este reversibil. Odata acoperiti cu fatete prin cimentare, acestia nu pot reveni la situatia anterioara, putandu-se doar inlocui fatetele initale cu altele noi, dupa un anumit numar de ani.
- Ca in situatia oricaror alte lucrari dentare, va exista o perioada de acomodare a pacientului cu noile fatete dentare. Initial, pot aparea anumite dificultati in pronuntarea anumitor consoane precum „v”,”f” sau „s”. Totusi, fatetele se pot ajusta ulterior de catre medicul dentist acolo unde se impune.
- Fatetele sparte sau fisurate nu pot fi reparate. In cazul unei fracturi, este necesara inlocuirea lor.
- Foarte rar, fatetele se pot dezlipi de pe suprafata dintilor. Pentru a evita aceste situatii, sunt contraindicate total obiceiurile vicioase precum rosul unghiilor sau obiectelor dure. De asemenea, este recomandat sa se evite forte excesive pe dintii fatetati.
- Dintii fatetati pot fi afectati in continuare de carii in zonele neacoperite, asa incat se impune o igiena foarte riguroasa.
Tipuri de fatete dentare
Dupa materialul din care sunt realizate, fatetele dentare sunt de mai multe tipuri:
- Fatete din portelan/ceramica: fatete Emax – ceramica presata sau fatete feldspatice – din straturi de ceramica;
- Fatete din disilicat de litiu (portelan/ceramica foarte subtire si foarte puternic/a)
- Fatete Da Vinci (portelan/ceramica foarte subtire)
- Fatete Mac (material foarte puternic si rezistent la pete)
- Fatete din materiale compozite
- Fatete din materiale nanoceramice pentru acoperire (cea mai noua tehnologie)
- Fatete din zirconiu: mai rezistente, dar nu si cele mai estetice – indicate pentru zonele cu forte masticatorii mari
Dupa modul de aplicare/cimentare, fatetele dentare se impart astfel:
- Fatete fara slefuire sau “no prep”: sunt foite foarte fine de ceramica, de maximum 0.3 mm, care se lipesc pe suprafata smalţului dintelui fara a fi necesara slefuirea;
- Fatete cu slefuire “prep”: se aplica in urma prepararii smaltului printr-un grad minim de slefuire. Prepararea smaltului dentar se face deseori prin simpla creare de santuri in smalt, cu o adancime de 0.2-0.6 mm, sau prin zgarierea superficiala a smaltului dentar.
Cand sunt indicate fatelele dentare fara slefuire “no prep”?
Fatetele fara slefuire sunt indicate atunci cand:
- Dintii nu sunt rotiti sau exista dinti prea proeminenti
- Dintii sunt sanatosi si se doreste doar o schimbare a culorii si poate, usor, a formei acestora
- Exista spatii intre dinti sau doar o strungareata si pacientul nu doreste sa poarte aparat dentar
- Dintii au ciobituri sau defecte de formare
- Dintii sunt colorati puternic langa gingie
- Exista pete albe pe dinti sau pete date de administrarea de tetraciclina in copilarie
- Dintii de sus sunt foarte scurti si se doreste lungirea acestora
- Buza acopera tot dintele, iar cand pacientul zambeste, nu se vad dintii

Cand NU sunt recomandate fatetele dentare fara slefuire “no prep”?
Adevarul este ca nu tuturor pacientilor li se pot aplica fatete dentare fara sa se slefuiasca dintii. Pacientii nu pot beneficia de fatete dentare fara slefuire “no prep” atunci cand:
- Au dintii inghesuiti
- Au anumiti dinti iesiti mai in afara cu mult
- Au dinti rotiti in ax
- Muscatura acestora este cap la cap (dintii de sus se intalnesc cu dintii de jos pe muchia incizala)

Fatetare dinti pareri – Cum sa alegi cele mai bune/potrivite fatete dentare?
In primul rand, trebuie sa stii ca doar medicul specialist protetician poate sa recomande cele mai potrivite fatete pentru necesitatile tale.
Alegerea tipului de fatete, fara slefuire ‘no prep’ sau cu slefuire ‘prep’, este determinata de starea dintilor tai si a scopului fatetarii acestora: acoperirea fisurilor, corectarea ciobiturilor, albirea dintilor etc. Te invitam sa citesti articolul care face o comparatie intre diferite tipuri de fatete dentare: Emax, Zirconiu, Lumineers!
Fatetare dinti pret – Cat costa o fateta dentara sau fatetarea pentru toata dantura?
Pretul fatetelor dentare este influentat de calitatea materialelor si manopera practicata de medicul specialist in protetica dentara. Fatetele ceramice sau Emax si cele feldspatice, de exemplu, sunt cele mai estetice si, de aceea, pot avea si un cost mai ridicat. Astfel, pretul unei fatete dentare ceramice E-max este 2200 lei, iar pretul unei fatete dentare integral ceramice feldspatica VIP este de 2700 lei.
De cele mai multe ori, pentru un rezultat estetic optim, se fateteaza cel putin 4 sau 6 dinti pe fiecare arcada, deci minimun 8-12 fatete pentru toata gura. Pentru a afla costul per dinte, te invitam sa consulti lista noastra de preturi pentru fatete dentare.








