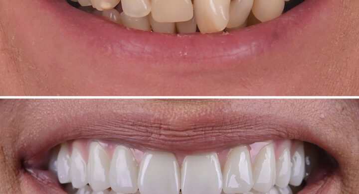
Pacienta 52 ani, dantura completa Straumann Pro Arch – All-on-4 si All-on-6 – lucrari fixe cu 4 si 6 implanturi Pacienta noastra de 52 de ani a beneficiat de o reconstructie completa a danturii la maxilar si mandibula cu a...Citește în continuare
All-on-4 sau All-on-6: criterii medicale reale (maxilar vs mandibula, os, bruxism, muscatura) Cand cauti dinti ficsi pe implanturi, e usor sa ramai cu impresia ca All-on-6 este automat "mai bun" decat All...Citește în continuare
Pacient 73 ani, All-on-6 – Lucrari fixe pe 6 implanturi la maxilar si mandibula Pacientul de 73 de ani a beneficiat de reconstructie totala a danturii cu lucrari fixe pe 6 implanturi al maxi...Citește în continuare
Pacienta 48 ani, All-on-6 – Lucrare fixa pe 6 implanturi la ambele arcade dentare Pacienta de 48 de ani a beneficiat de reconstructie totala a danturii cu lucrare fixa pe 6 implanturi la ambel...Citește în continuare
Pacienta 56 ani, Lucrare fixa pe 6 implanturi bimaxilar Pacienta de 56 de ani a beneficiat de reabilitare orala completa cu lucrare fixa pe 6 implanturi dentare la ma...Citește în continuare
Pacienta 65 ani, All-on-6 Bimaxilar – Proteze dentare fixe cu 6 implanturi Pacienta noastra de 65 de ani a beneficiat de o reconstructie totala a zambetului cu proteze dentare fixe cu 6...Citește în continuare
Pacient 55 ani – Proteza dentara totala fixa pe 4 si 6 implanturi Fast and Fixed Pacientul nostru de 55 de ani a beneficiat de o reconstructie completa a zambetului cu proteze dentare totale...Citește în continuare
Pacienta 51 ani – Fast and Fixed – Proteze fixe cu 4 si 6 implanturi – All-on-4 si All-on-6 Pacienta de 51 de ani a beneficiat de o reconstructie completa a zambetului cu implanturi Sky Fast and Fixed B...Citește în continuare
Pacienta 67 ani, Lucrare fixa pe 6 implanturi – All-on-6 Pacienta de 67 de ani a beneficiat de o reconstructie totala a danturii la arcada superioara prin tehnica IMPL...Citește în continuare
Pacienta 62 ani – All-on-4 si All-on-6 – Proteze fixe cu 4 si 6 implanturi Pacienta noastra de 62 de ani a beneficiat de o reconstructie completa a danturii cu o proteza fixa cu 6 impla...Citește în continuare
Pacient 69 ani, Lucrare fixa pe 6 implanturi + Coroane pe implanturi Pacientul de 69 de ani a beneficiat de o reconstructie totala a danturii cu lucrare fixa pe 6 implanturi Megag...Citește în continuare
Pacienta 69 ani – Proteze fixe cu 4 si 6 implanturi Bredent si Inno Pacienta de 69 de ani a beneficiat de o reconstructie totala a danturii cu o proteza fixa cu 6 implanturi la m...Citește în continuare