Dintii supranumerari: cauze, simptome si tratament
Corpul uman este, uneori, mai generos decat ar trebui. In cazul unor persoane, sistemul dentar produce mai multi dinti decat numarul standard — 32 la adulti, 20 la copii. Acesti „musafiri nepoftiti” poarta un nume precis: dinti supranumerari. Si, desi suna exotic, afectiunea nu este atat de rara pe cat s-ar putea crede.
1–3% din populatie este afectata | 2:1 barbati vs. femei | 90% din cazuri apar in maxilarul superior | cel mai frecvent tip: mesiodens
1. Ce sunt dintii supranumerari?
Termenul medical provine din latinescul supranumerarius — „deasupra numarului”. In practica stomatologica, aceasta conditie se numeste hiperdontie si desemneaza aparitia unuia sau mai multor dinti suplimentari, fie in dentitia temporara (de lapte), fie in cea permanenta.
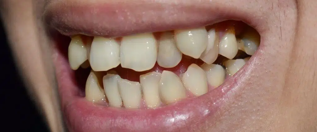
Dintii supranumerari pot fi erupti (vizibili in cavitatea bucala) sau inclusi (blocati in osul maxilar si neiesiti la suprafata). In functie de pozitia lor si de forma pe care o iau, pot cauza probleme minore sau pot declansa un lant intreg de complicatii ortodontice.
Cel mai cunoscut exemplu este mesiodens-ul — un dinte mic, adesea conic, care apare intre cei doi incisivi centrali superiori. Acesta reprezinta aproximativ jumatate din toate cazurile de hiperdontie.
2. Tipuri si forme intalnite
Dintii supranumerari nu au o singura infatisare. Ei variaza ca forma, dimensiune si localizare:
- Mesiodens — cel mai frecvent; apare intre incisivii centrali superiori, adesea conic sau tuberculos.
- Paramolar — dinte suplimentar in zona molarilor, de obicei mic si rudimentar, pozitionat bucal sau palatinal.
- Distomolar — apare distal de molarul de minte (al treilea molar); denumit uneori „al patrulea molar”.
- Supplemental — replica aproape perfecta a unui dinte normal din seria dentara, greu de deosebit de dintii obisnuiti.
- Tuberculos — forma cu mai multe tuberculozitati; rar erupe spontan, frecvent asociat cu dinti inclusi.
- Conic — forma de peg sau cui, adesea cu radacina scurta; cel mai frecvent tip morfologic.
Un dinte supranumerar inclus poate ramane „tacut” ani intregi, fara simptome — si totusi poate devia incisivii, bloca eruptia dentara normala sau forma un chist fara ca pacientul sa stie.
3. De ce apar? Cauze si factori de risc
Etiologia hiperdontiei nu este pe deplin elucidată, insa cercetarile actuale indica mai multe mecanisme posibile:
Teoria dicotomiei mugure
Un mugure dentar normal se divide in doi, generand doi dinti acolo unde era planificat unul singur. Aceasta teorie explica mai bine aparitia dintilor supranumerari cu forma normala (tipul supplemental).
Activitate epiteliala reziduala
Celule ramase din lamina dentara — banda de tesut din care se formeaza mugurii dentari — se reactiveaza si initiaza formarea unui dinte suplimentar. Aceasta teorie este larg acceptata si explica varietatea de forme observate.
Factori genetici
Hiperdontia apare mai frecvent in anumite familii si este asociata cu sindroame genetice precum displazia cleidocraniana, sindromul Gardner sau sindromul Down. La persoanele fara sindroame, componenta genetica este prezenta, dar mai difuza.
Factori de mediu
Traumatisme, iradiere sau tulburari de metabolism in perioada de formare a mugurilor dentari pot perturba procesul normal si favoriza aparitia de dinti suplimentari.
4. Complicatii
Nu toti dintii supranumerari sunt simptomatici. Uneori sunt descoperiti intamplator la o radiografie de rutina. Insa, atunci cand creeaza probleme, acestea pot fi semnificative:
- Blocarea eruptiei incisivilor permanenti
- Inghesuire si malpozitie dentara
- Formarea de chisturi foliculare
- Resorbţia radacinilor dintilor vecini
- Diastema (spatiu intre incisivi)
- Probleme ocluzale si functionale
- Complicatii ortodontice prelungite
- Eruptie ectopica (in locuri gresite)
5. Cum se diagnosticheaza
Diagnosticul hiperdontiei combina examinarea clinica cu investigatii imagistice. Nu de putine ori, descoperirea este intamplatoare.
1. Examinarea clinica
Medicul stomatolog inspecteaza arcadele dentare, numara dintii, evalueaza simetria eruptiei si identifica eventuale diasteme, inflamatii sau zone de intarziere a eruptiei.
2. Radiografia panoramica (OPG)
Imaginea de ansamblu a intregii arcade dentare, inclusiv zonele osoase. Permite identificarea dintilor supranumerari inclusi, a pozitiei lor si a raportului cu structurile invecinate.
3. Radiografia periapicala
O imagine de detaliu a unui sector restrans din arcada. Utila pentru evaluarea precisa a unui dinte supranumerar deja identificat si a radacinilor dintilor vecini.
4. CBCT (Cone Beam Computed Tomography)
Tomografia dentara 3D reprezinta standardul de aur pentru cazurile complexe. Ofera informatii tridimensionale despre pozitia exacta a dintelui supranumerar, raportul cu nervii, sinusul maxilar si radacinile vecine. Indispensabila inaintea oricarei interventii chirurgicale.
5. Evaluarea ortodontica
In multe cazuri, specialistul ortodont este cel care sesizeaza prezenta unui dinte supranumerar si initiaza trimiterea catre investigatii suplimentare. Colaborarea interdisciplinara este esentiala.
6. Optiuni de tratament
Decizia terapeutica se ia in functie de mai multi factori: tipul dintelui supranumerar, pozitia lui, varsta pacientului, impactul asupra dentitiei permanente si prezenta sau absenta simptomelor.
Extractia chirurgicala — solutia cel mai des indicata
- Extractia simpla pentru dintii erupti, sub anestezie locala
- Extractia chirurgicala pentru dintii inclusi, cu decolarea unui lambou mucoperiosteal
- Interventie sub sedare sau anestezie generala la copii mici sau cazuri complexe
- Momentul optim: de obicei intre 5 si 8 ani, inainte ca radacinile incisivilor permanenti sa fie complet formate
- In cazuri selectate, extractia poate fi amanata si monitorizata periodic imagistic
Observatia si monitorizarea
Nu orice dinte supranumerar necesita interventia imediata. Daca este inclus profund, nu cauzeaza complicatii si pacientul este adult, monitorizarea periodica (radiografii la 12–18 luni) poate fi alternativa la interventia chirurgicala. Aceasta abordare este insa mai rara si se aplica in conditii foarte specifice.
Tratamentul ortodontic post-extractie
Dupa indepartarea dintelui supranumerar, consecintele sale asupra arcadei dentare nu dispar automat. Medicul ortodont evalueaza necesitatea unui aparat dentar fix sau mobil pentru a corecta pozitia dintilor deplasati, a inchide diastema sau a facilita eruptia dintilor blocati.
Expunerea chirurgicala si tractiunea ortodontica
In cazurile in care un dinte permanent a fost blocat de un supranumerar si nu mai erupe singur dupa extractia acestuia din urma, se poate recurge la o tehnica combinata: chirurgul expune coronita dintelui inclus, aplica un buton metalic, iar ortodontul tracteaza progresiv dintele pe arcada cu ajutorul aparatului dentar fix. Rezultatele sunt, in general, bune daca interventia este realizata la timp.
7. Importanta diagnosticului precoce
In stomatologia pediatrica, screeningul radiologic la momentele cheie ale dezvoltarii dentare — in jurul varstei de 5–6 ani si inainte de eruptia molarilor de 12 ani — poate identifica hiperdontia inainte ca aceasta sa produca daune semnificative.
Un dinte supranumerar depistat devreme si tratat la momentul potrivit reprezinta diferenta intre o extractie simpla si ani de tratament ortodontic complicat. Educatia parintilor si controalele stomatologice regulate la copii sunt prima linie de aparare.
Dintii supranumerari nu sunt o curiozitate anatomica fara consecinte. Sunt o conditie reala, cu impact masurabil asupra sanatatii orale, si care raspunde bine la tratament atunci cand este depistata la timp. Daca observi un dinte „in plus” la copilul tau — sau la tine insuti — un consult stomatologic urmat de o radiografie este primul pas catre claritate.
Articol informativ — Stomatologie & Ortodontie — Nu inlocuieste consultul medical de specialitate.







