Pacienta 64 ani – Lucrari dentare fixe pe 6 si 4 implanturi
Pacienta noastra de 64 de ani a beneficiat de lucrari dentare fixe pe 6 si 4 implanturi la maxilar si la mandibula. Lucrarile protetice definitive au fost realizate de dr. Dragos Popescu, medic protetician, Specialist in Estetica si protetica Dentara Computerizata CEREC Cad/Cam 3D.
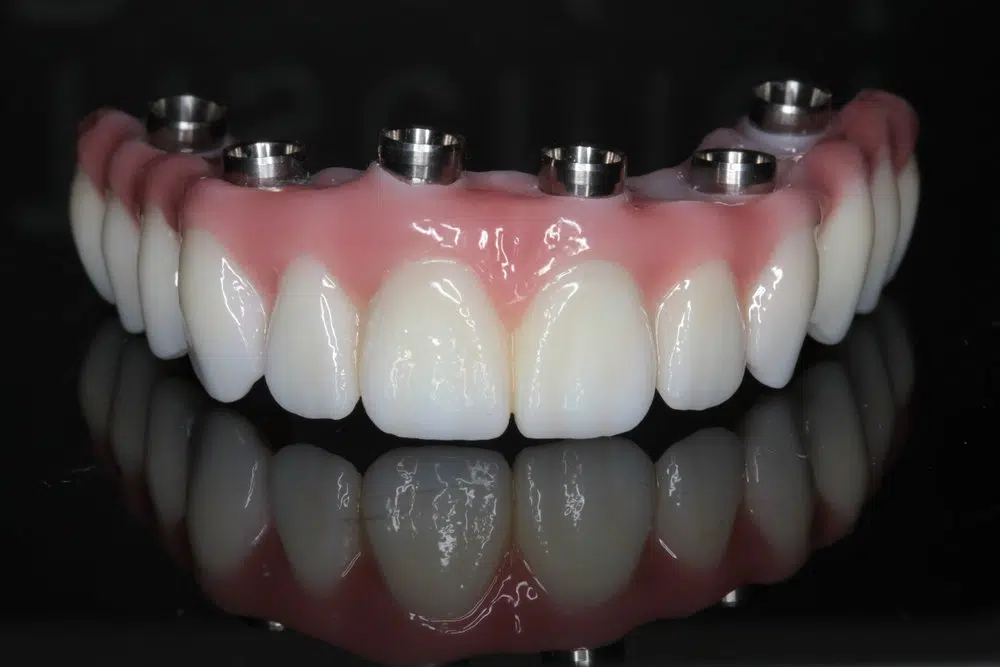
Maxilar – Lucrare dentara din ceramica pe zirconiu fixa pe 6 implanturi
- Lucrare dentara definitiva fixa pe 6 implanturi cu structura din zirconiu si coroane integral ceramice
La maxilar pacienta a optat pentru o lucrare dentara cu o estetica si durabilitate deosebite, fiind cat mai aproape de natural.
Mandibula – Lucrare dentara din ceramica pe zirconiu fixa pe 4 implanturi
- Lucrare dentara definitiva fixata pe 4 implanturi cu structura din zirconiu si coroane integral ceramice
La mandibula s-a mers pe acelasi tip de lucrare protetica totala, din aceleasi considerente de estetica superioara si durabilitate.

Avantajele lucrarilor dentare ceramice pe suport de zirconiu
Lucrarile protetice definitive realizate din ceramica pe suport de zirconiu prezinta numeroase beneficii, dintre care enumaram:
- Estetica superioara pe care o ofera suportul de zirconiu, fiind disponibil in diverse nuante apropiate de cele ale dintilor naturali.
- Se pot utiliza cu succes in orice zona a cavitatii orale, integrandu-se perfect in arcada dentara.
- Zirconiul este frezat computerizat, iar astel procedeul de realizare este mult mai exact si nu lasa loc erorii umane.

Cat costa o lucrare dentara fixa definitiva pe implanturi?
In cadrul clinicii Dental Premier din Bucuresti oferim o gama larga de lucrari dentare fixe definitive pe implanturi realizate din diferite materiale de cea mai buna calitate, cum ar fi, compozit stratificat, ceramica integrala sau ceramica pe zirconiu etc.
Pacientii Dental Premier beneficiaza de expertiza medicilor nostri specialisti in alegerea lucrarile protetice definitive. Decoperiti mai multe despre alegerea lucrarilor definitive aici.
Pretul unei lucrari dentare fixe definitive pe implanturi este direct influentat de calitatea materialelor din care este realizata.
Lista preturi lucrari dentare fixe definitive pe implanturi
Mai jos regasiti oferta noastra completa de variante si preturi pentru lucrari dentare fixe definitive pe implanturi cu incarcare imediata.
| Serviciu | Pret (EUR/RON) | Pret (LEI) |
|---|---|---|
| BASIC - Lucrare fixa provizorie de lunga durata pe implanturi cu structura Crom/Cobalt si coroane din PMMA/GRAPHEN (pret per arcada) | 2700€ (13500 RON) | 13500 |
| STANDARD - Lucrare fixa pe implanturi cu structura de crom/cobalt sinterizata si coroane din compozit stratificat (pret per arcada) | 3700€ (18500 RON) | 18500 |
| PREMIUM - Lucrare fixa pe implanturi cu structura de crom/cobalt sau zirconiu si coroane individuale ceramica/zirconiu (pret per arcada) | 4800€ (24000 RON) | 24000 |
Trebuie luat in considerare faptul mai exista si costurile aferente etapei intiale de inserare a implanturilor All-on-4 si All-on-6 si atasarea lucrarii fixe provizorii. De regula, se utilizeaza 6 implanturi la arcada superioara si 4 implanturi la arcada inferioara, iar pretul lucrarii dentare provizorii este inclus in costul intregii etape de implanturi si dinti ficsi in 24 de ore.
Va invitam de asemenea sa consultati lista noastra completa de preturi pentru implanturi dentare.






