Pacienta 59 ani, dinti ficsi in 24 ore – implant dentar Sky Fast and Fixed, All-on-4 si All-on-6 Pacienta de 59 de ani a beneficiat de o restaurare completa a danturii prin tehnica dinti ficsi in 24 ore cu a...Citește în continuare
Pacienta 60 ani, Proteze fixe cu 6 implanturi dentare All-on-6 Megagen Pacienta de 60 de ani a beneficiat de o restaurare completa a danturii cu ajutorul sistemelor tip All-on-6, pr...Citește în continuare
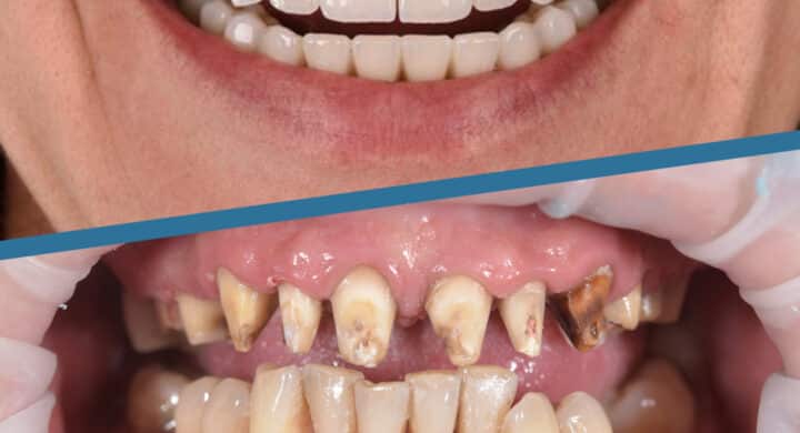
Pacienta 48 ani, Dinti ficsi pe 4 implanturi in 24 ore, maxilar + mandibula Pacienta de 48 de ani a beneficiat de o restaurare completa a danturii cu ajutorul tehnicii dinti ficsi prvizo...Citește în continuare
Pacienta 44 ani, dantura fixa pe implanturi All-on-4 si All-on-6 Pacienta de 44 de ani a beneficiat de o restaurare completa a danturii cu sistemele de implanturi dentare All-...Citește în continuare
Pacient 62 de ani, Fast and Fixed – proteza fixa cu 6 implanturi Pacientul de 62 de ani a beneficiat de o dantura completa la maxilar utilizand proteza fixa cu 6 implanturi Br...Citește în continuare
Pacienta 56 ani, implanturi Fast and Fixed Bredent maxilar + Fast Smile Inno mandibula Pacienta de 56 de ani a beneficiat de o restaurare completa a danturii cu 6 implanturi dentare Bredent si lucr...Citește în continuare
Pacienta 66 ani, All-on-4 la maxilar si implanturi Bredent la mandibula Pacienta de 66 de ani a beneficiat de o reabilitare totala a danturii cu ajutorul sistemului All-on-4 Nobel Bi...Citește în continuare
Pacienta 44 ani, proteze fixe cu 4 si 6 implanturi Pacienta de 44 de ani a beneficiat de o reabilitare dentara totala la ambele arcade cu ajutorul protezelor fix...Citește în continuare
Pacient 64 de ani – proteza fixa cu 4 implanturi + proteza fixa cu 6 implanturi – etape, pret Pacientul de 64 de ani a beneficiat de o restaurare totala a danturii cu o proteza fixa cu 4 implanturi la man...Citește în continuare
Proteza fixa cu 4 implanturi: variante, etape si pret Foarte multi pacienti purtatori de proteze mobile sau edentati total ne intreaba care este pretul unei proteze...Citește în continuare
Pacient 40 de ani, proteza fixa cu 4 si 6 implanturi la mandibula si maxilar – etape si pret Pacientul de 40 de ani a beneficiat de o reconstructie totala a danturii cu proteza fixa cu 4 implanturi la ma...Citește în continuare
Pacienta 74 de ani, Fast and Fixed mandibula + implanturi Bredent maxilar Pacienta de 74 de ani a beneficiat de tehnica "Dinti ficsi in 24 ore" la arcada inferioara (mandibula) si de i...Citește în continuare